הצגת מקרה – סגירת מרווח בין שיניים קדמיות
עמוד הבית » הצגת מקרה – סגירת מרווח בין שיניים קדמיות
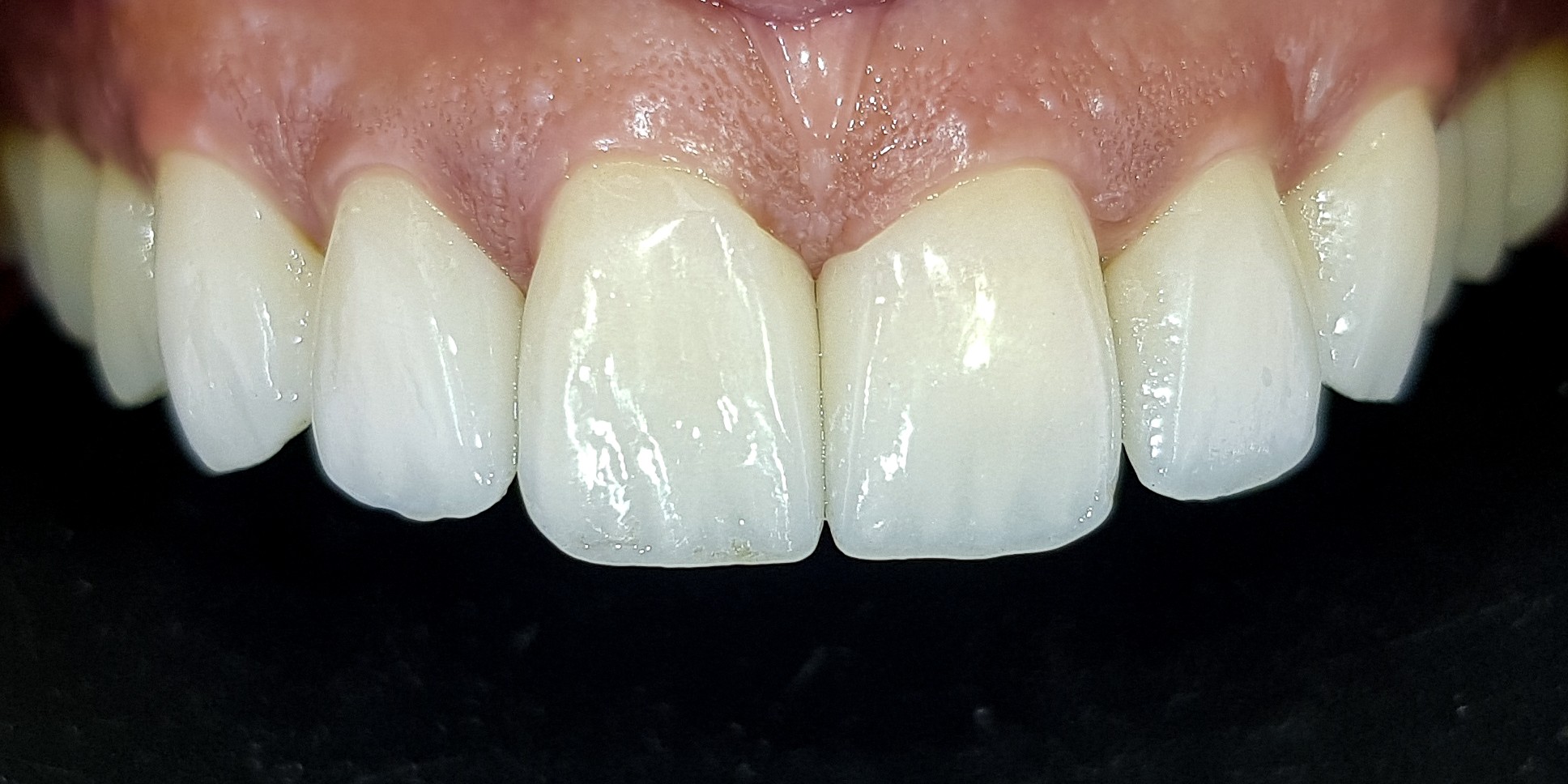
סגירת מרווח (דיאסטמה) בין שיניים קדמיות
עמוד הבית » הצגת מקרה – סגירת מרווח בין שיניים קדמיות