6 דברים פורצי דרך שתמצאו במרפאה של ד״ר גלעד פיסקוס.
לחרדתיים מרופא שיניים הרדמה בעט דיגטלית. הרדמה לא מורגשת וידידותית.
לקיחת מידות לכתרים וציפויים. ״ללא פלסטינה״ עם מצלמה דיגטלית סורק 3shape
הטיפולים אצלנו במרפאה
הסוד לחיוך המושלם – עם ד״ר גלעד פיסקוס
החלפת ציפויים מוגשמים לציפויים טבעיים
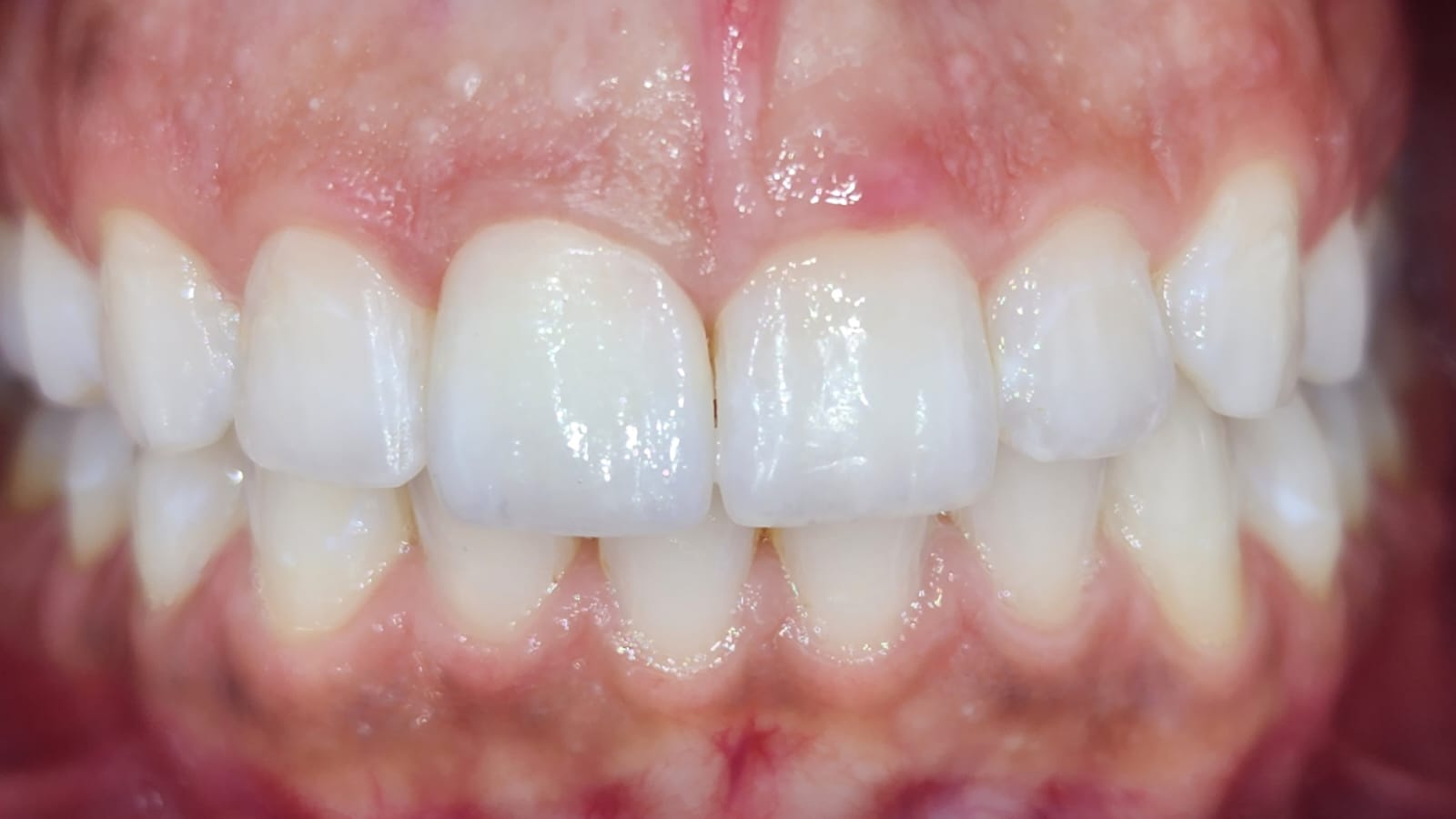
החיוך שחשבתם שתיקנתם, עלול לפגוע בבריאות שלכם!
אחרי טיפולים בארץ או בטורקיה, מטופלים רבים מגלים שהכתרים הבומבסטיים שהותקנו להם גורמים לדלקות חמורות בחניכיים. למה זה קורה? המעברים לא אטומים , לא חלקים ולא מותאמים לחניכיים, מה שיוצר הצטברות חיידקים ודלקות קשות.
ד”ר גלעד פיסקוס מתקן את הנזק – מטפל בדלקות ומחליף את הכתרים בציפויים טבעיים, דקים ומדויקים, שמבטיחים מעבר חלק ובריא לחניכיים ורודות ולא מדממות וחיוך יפהפה!
תנו לעצמכם חיוך מנצח בריא , לבן ומושלם. קובעים עכשיו אצל ד”ר גלעד פיסקוס !
מפורסמים במרפאת ד"ר גלעד פיסקוס
לקוחות מספרים
אודות ד"ר גלעד פיסקוס
ד”ר גלעד פיסקוס הינו בוגר הפקלוטה לרפואת שיניים של האוניברסיטה העברית והדסה בירושלים, משנת 1989.
את התואר הראשון במדעי הרפואה סיים בהצטיינות ועל עבודת הגמרלתואר ד”ר ברפואת השיניים זכה בציון לשבח.
הוא חבר בהסתדרות לרפואת השיניים ועובד במרפאתו הפרטית בראשון לציון .
ד”ר גלעד עוסק בכל תחומי רפואת השיניים הכללית ושיקום הפה, עם דגש עיקרי לתחום האסתטיקה הדנטלית.
במשך 30 שנה מאז סיים את לימודיו, הוא השתתף בעשרות כנסים בארץ ובחו”ל. בינהם כנסים רבים של האקדמיה האירופית ואסתטיקה דנטלית EAED,
קורס בבניית שיניים קדמיות אצל PROF. LORENZO VANINI באיטליה וקורס שתלים של חברת ZIMMER בשוויץ.
בשנת 2009 ד”ר גלעד נבחר יחד עם עוד 3 קולגות להשתתף בהשתלמות הראשונה שנפתחה בהדסה
עין כרם, בתחום האסתטיקה הדנטלית.
ד”ר גלעד יוצק לתוך עבודתו הרפואית את חוש האומנות והאסתטיקה המוכרת לו מחיי היום יום. כצלם אמן הוא מתעד תרבויות על פני הגלובוס ותצלומיו מופיעים בתערוכות רבות ובמגזינים יוקרתיים ברחבי העולם.
פרסים בין לאומיים

















